Mijn voet deed al de hele week een beetje pijn bij het lopen, maar toen H. zondagavond voorstelde om even een rondje te wandelen, zei ik ja. Ik liep zorgvuldig, want als ik die voet maar goed recht neerzette, viel het best mee. Maar na twee kilometer had ik het toch wel een beetje gehad. Ik nam een shortcut naar huis en liet H. alleen het rondje afmaken.
De volgende dag doet het echt zeer en is m’n voet ook een beetje dik. Ik hink door het huis en ontdek dat het beter gaat als ik m’n tuinklompen met houten zolen draag. Het gaat niet vanzelf over, bedenk ik ’s avonds en besluit om de volgende ochtend de huisarts te bellen. Ik mag meteen komen, want er heeft iemand afgezegd.
‘Tja,’ zegt mijn huisarts als hij een tijdje aan mijn voet heeft gedraaid, geduwd en geklopt en precies weet waar de pijn zit. ‘Eigenlijk weet ik het niet. Het lijkt op een marsfractuur…’ Hij legt uit dat dat een scheurtje is in het middenvoetsbeentje en dat het zo genoemd wordt omdat het voorkomt bij militairen die heel lange marsen hebben gelopen. Heb ik onlangs een hele lange wandeling gemaakt? Nou nee. ‘Maar het kan best dat ik iets op m’n voet heb laten vallen wat ik niet meer weet. Zoiets gebeurt me wel eens.’
Hij grinnikt: ‘Ben je zo onhandig?’
Dan vertelt hij dat ik in het ziekenhuis een foto kan laten maken als ik wil, dan weet ik of er inderdaad een scheurtje in het botje zit. Niet ondenkbaar ook met m’n osteoporose.
‘Als dat zo is,’ zegt hij, ‘weet ik niet of ze dat spalken, maar ik denk het niet.’
Ik vertel dat m’n tuinklompen volgens mij behoorlijk als spalk werken en dat lijkt hem nog niet zo’n slecht idee. Intussen zit hij naarstig een verwijzing te typen voor het ziekenhuis.
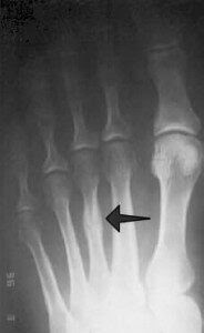
Woensdagochtend fiets ik naar het ziekenhuis (fietsen gaat prima), waar door een energieke dame binnen een paar minuten een foto wordt gemaakt van mijn voet. Tien minuten later komt ze me vertellen dat er een heel klein scheurtje in een middenvoetsbeentje zit.
‘Maar je hoeft er niet mee naar de eerste hulp,’ zegt ze er meteen achteraan.
Ik had geen moment gedacht dat dat wél zou moeten, en realiseer me dat dat een flinke tegenvaller geweest zou zijn. Ze zegt dat ik maar terug naar de huisarts moet gaan om te overleggen wat nu.
Dat lijkt me eigenlijk niet nodig. Ik bel de assistente om te vertellen dat er dus een scheurtje zit en dat ik met de dokter heb afgesproken om het te stabiliseren door op klompen te gaan lopen. Ze geeft nog wat aanwijzingen en dat was dat.
Een week of zes op tuinklompen, binnen en buiten. Niet ideaal maar het kan erger.
Abonneren op:
Reacties posten (Atom)
Gidsen op de afvalberg
“Er hebben zich zestien mensen aangemeld,” zegt H. terwijl hij op zijn telefoon kijkt. “Hoe gaan we het doen vandaag? Wil jíj beginnen of ...
-
Er ligt een klein, hemelsblauw eitje in de tuin. Helemaal gaaf ligt het op een onbegroeid stukje grond. Mijn eerste opwelling is, het op e...
-
Het is ongeveer 10 kilometer fietsen naar Sanguin en voor alle zekerheid doe ik een regenjas aan. Als ik er bijna ben, begint het zachtjes...
-
Eindelijk de knoop doorgehakt. Ik was het al langer van plan, maar nu heb ik de zolderkamer die vroeger de kamer van E. was, veranderd in ee...

Geen opmerkingen:
Een reactie posten